Lacunes cérébrales ischémiques - infarctus lacunaires
Date de dernière édition : 27/09/2024
Une lacune cérébrale est définie anatomopathologiquement comme une cavité de diamètre inférieur à 15 mm (certains auteurs retiennent un cut-off différent), située dans le parenchyme cérébral profond et vascularisée par une artère perforante intracérébrale (noyaux de la base, thalamus, centre semi-ovale, tronc cérébral). Les lacunes cérébrales ischémiques ou infarctus lacunaires traduisent une nécrose secondaire à un défaut critique d'apport en oxygène, représentant une forme particulière d'accidents vasculaires cérébraux (AVC) ischémiques.
Plus rarement, les lacunes cérébrales peuvent être hémorragiques, témoignant cependant classiquement du même type de micro-angiopathie que les lacunes ischémiques, ou être confondues avec des dilatations d'espaces périvasculaires, sans signification pathologique démontrée.
En pratique clinique, leur diagnostic repose sur la conjonction d'arguments cliniques et, aujourd'hui de manière déterminante, sur l'imagerie par résonance magnétique.
Classifications et éléments d'anatomo-pathologie
Classiquement, on distingue trois types histologiques de lacunes cérébrales :
- Les infarctus lacunaires – ils représenteraient 25% des accidents vasculaires cérébraux (AVC) ischémiques
- Ils constituent la majorité des lacunes cérébrales et sont observés dans 6 à 11% des autopsies (mais plus de 80% des lésions étaient réputées asymptomatiques).
- Ils résultent de l'occlusion d'une artère perforante (diamètre inférieur à 400 μm, terminale, non anastomosée : lenticulo-striées provenant des artères cérébrales antérieures et moyennes, thalamo-perforantes provenant des artères cérébrales postérieures, paramédianes issues du tronc basilaire)
- Etiologies principales : athérosclérose de l'artère donnant naissance à l'artère perforante, lipohyalinose
- Les lacunes hémorragiques (hémosidérine dans les macrophages présents, témoignant d'un antécédent hémorragique)
- Leur différenciation radiologique des lacunes ischémiques n'est pas toujours évidente. Si nécessaire, la réalisation de séquences T2* à l'imagerie par résonance magnétique cérébrale permettra de mettre en évidence les dépôts d'hémosidérine.
- Les dilatations des espaces périvasculaires de Virchow-Robin
- Arrondies, régulières, contenant fréquemment des segments d'artères normales. Elles sont parfois difficiles à différencier de lacunes ischémiques ou hémorragiques, leur diagnostic correct reposant principalement sur le degré d'expertise du radiologue.
- Leur origine et leur signification clinique sont controversées, la plupart des praticiens les considérant actuellement comme des variantes anatomique sans caractère pathologique. Dans tous les cas de figure, leur découverte isolée n'ayant aucune implication thérapeutique, leur place dans cette classification est discutable.
De nombreux auteurs réservent cependant le terme lacune aux infarctus lacunaires, désignant les "lacunes hémorragiques" comme des micro-hémorragies (ou microbleeds). Quoi qu'il en soit, les infarctus lacunaires et microbleeds représentent fréquemment deux versants d'un même syndrome micro-angiopathique.
Eléments de physiopathologie
Les lacunes cérébrales sont une manifestation des micro-angiopathies, localisées ou diffuses. De longue date, outre les classiques facteurs de risque cardio-vasculaires, de nombreux facteurs (inflammation systémique, dysfonctions endothéliales, troubles de l'hémostase,...), dont les rôles pathogènes sont clairement établis, ont été suspectés jouer un rôle plus déterminant que pour les accidents vasculaires cérébraux résultant de macro-angiopathies. Actuellement cependant, aucune différence significative n'a été mise en évidence en ce sens.
Etiologies et facteurs de risque
Les facteurs de risque (tabagisme, éthylisme, obésité, diabète, hypertension artérielle, âge, hyperlipidémies) et étiologies (voir chapitres correspondants) sont les mêmes que pour les accidents vasculaires cérébraux non lacunaires. Cependant, la prédominance des étiologies diffère.
Lipohyalinose des artères perforantes (cause nettement prédominante)
La lipohyalinose artérielle correspond à l'épaississement de la paroi vasculaire par une substance hyaline, lipidique et une nécrose fibrinoïde → perte de l'architecture pariétale vasculaire. Sa fréquence étant inversement proportionnelle au calibre artériel, elle est assez spécifique des infarctus lacunaires. Sa pathogénie reste discutée (altération de l'autorégulation aux variations tensionnelles sur vasoconstriction chronique secondaire à une hypertension chronique ? Susceptibilités génétiques ? Mécanismes inflammatoires ? Autres ?)
Les facteurs de risque sont les mêmes que pour toutes les vasculopathies mais le risque relatif est significativement plus élevé pour l'hypertension artérielle et le diabète.
Angiopathies amyloïdes cérébrales
Les angiopathies amyloïdes cérébrales sont un groupe hétérogène d'angiopathies caractérisées par la présence de dépôts protéiques amyloïdes dans la paroi des vaisseaux cérébraux. Elles sont fréquentes chez les patients âgés et favorisent tant les ischémies que les hémorragies cérébrales.
Athéromatose et athérosclérose
La formation de lésions sténosantes sur plaques athéromateuses, impliquant les classiques facteurs de risque cardio-vasculaires, touche également les perforantes et constitueraient la deuxième cause d'infarctus lacunaires.
Les phénomènes de sclérose ne touchant pas les artères du calibre des perforantes cérébrales, ceux-ci ne sont impliqués que dans les infarctus lacunaires résultant de l'occlusion de l'abouchement des perforantes aux artères de plus gros calibres.
CADASIL
La Cerebral Autosomal Dominant Arteriopathy with Subcortical Infarcts and Leukoencephalopathy (CADASIL) est une maladie génétique autosomale dominante (mutation du gène Notch 3, chromosome 19) touchant les petites artères.
Clinique : migraines avec aura, AVC ischémiques itératifs (2/3 de syndromes lacunaires), troubles de l'humeur, démence tardive. Il n'y a pas de prise en charge thérapeutique spécifique.
Autres affections génétiques
D'autres maladies génétiques exceptionnelles sont impliquées dans la genèse d'infarctus lacunaires multiples : le CARASIL (Cerebral Autosomal Recessive Arteriopathy with Subcortical Infarcts and Leukoencephalopathy), le Biswanger-like,...
Divers
D'autres causes (Cf étiologies des accidents vasculaires cérébraux ischémiques et hémorragiques) telles que des micro-emboles, des coagulopathies, des vasculites infectieuses ou non infectieuses,... sont également rapportées.
Clinique en phase aiguë
La majorité des infarctus et hémorragies lacunaires est silencieuse bien que leur accumulation puisse se traduire par une dégradation cognitive progressive, voire le développement d'un état multi-lacunaire (cf évolution). Lorsque leur survenue est symptomatique, leur diagnostic suppose par définition l'absence de signes corticaux et certains tableaux sont décrit classiquement plus fréquents que dans les autres types d'AVC et dénommés "syndromes lacunaires" bien que non pathognomoniques :
- Hémiplégie ou hémiparésie motrice pure
- Le plus fréquent. Touchant dans la majorité des cas au moins le membre inférieur et le membre supérieur ou un membre et la face.
- Concerne la capsule interne dans 2/3 des cas. Autres : protubérance, corona radiata, pédoncules cérébelleux, bulbe.
- Hémidéficit sensitivo-moteur
- Non associé classiquement aux syndromes lacunaires, les progrès de l'imagerie ont démontré qu'il s'agit du deuxième syndrome en terme de fréquence. Régions concernées par ordre décroissant de fréquence : bras postérieur de la capsule interne, corona radiata, genou de la capsule interne, thalamus, bras antérieur de la capsule interne.
- Hémidéficit sensitif pur
- Rares (sous diagnostic possible du fait de troubles sensitifs isolés, peu évocateurs), témoignant généralement d'infarctus de très petite taille.
- Hémiparésie ataxique
- Regroupe deux syndromes "classiques" : "l'ataxie et parésie crurale homolatérale" et la "dysarthrie - main malhabile".
- Témoignent généralement de lésions protubérantielles.
- Capsular warning syndrome
- Le "Capsular warning syndrome" constitue une forme particulière d'accidents ischémiques transitoires (AIT) caractérisés par la répétition à de courts intervalles de déficits moteurs ou sensitivo-moteurs hémicorporels identiques de brève durée. L'évolution se fait fréquemment vers la survenue d'un infarctus constitué dans la région capsulo-striée, exceptionnellement dans le tronc cérébral.
- Diverses présentations sont rares à exceptionnelles bien que parfois très évocatrices (il en est ainsi de l'apparition brutale et isolée de mouvements involontaires de type hémichorée ou hémiballisme chez un patient présentant des facteurs de risque cardio-vasculaires, fréquemment confondus avec des crises épileptiques partielles dans les services d'urgence).
Evolution
La mortalité à court terme est faible (2% versus 10 à 20% pour les infarctus non lacunaires à 1 mois, 8% versus 20% à 1 an) et la mortalité à 5 ans de 25% (essentiellement due à des pathologies cardiaques de même physiopathogénie).
Le pronostic fonctionnel est également meilleur, à l'exception des troubles cognitifs, et le risque de récidive plus faible à court terme (0 à 4% endéans 1 mois versus 5% pour les infarctus non lacunaires, 5 à 8% versus 10% à 1 an) mais similaire sur un plus long terme.
Leur accumulation se traduit rarement par des déficits moteurs sévères, mais fréquemment par le développement ou l'aggravation de troubles cognitifs (11% de démences vasculaires ou mixtes à 2 ans, 15% à 9 ans) voire un "état multi-lacunaire" (troubles cognitifs, troubles de la marche souvent de type praxiques [= astasie-abasie], signes frontaux, syndrome pseudo-bulbaire).
Leur présence est également corrélée à un risque majoré d'hémorragies intra-parenchymateuses (HIP), ++ profondes et tronc cérébral, qui peuvent parfois même prédominer sur le versant ischémique de la maladie.
Bilan complémentaires

Le bilan complémentaire est celui d'un accident vasculaire cérébral ischémique.
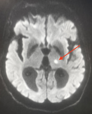
Spécificités radiologiques
Au CT-scanner cérébral, les lacunes peuvent ne pas apparaître ou se traduire par des hypodensités ovalaires < 15 mm de diamètre.
L'IRM reste l'examen de référence et peut révéler :
- Des lacunes anciennes : hyper en T2, hypo en T1. Difficiles à différencier des espaces périvasculaires de Virchow-Robin (dans ce dernier cas, la lésion est plus ronde et aux bords plus réguliers. La topographie aide parfois) même pour des examinateurs expérimentés.
- Des lacunes récentes : hyper en T2 et en FLAIR.
- Stade aigu : mêmes anomalies de diffusion et ADC que pour les autres types d'AVC (hyper en diffusion et hypo en ADC pour un infarctus)
- La coexistence avec d'autres anomalies :
- Relevant probablement des mêmes mécanismes. Ex : mise en évidence de micro-bleeds (séquences T2*) ou de leucopathies vasculaires (plages iso-dense au CT-scan, hyperintenses en T2 et FLAIR)
- Relevant d'autres mécanismes. Ex : la coexistence avec des macrobleeds et microbleeds corticaux, témoignant fréquemment d'une angiopathie amyloïde, est fréquente
Prise en charge thérapeutique - Traitements
Les recommandations quant à leur prise en charge thérapeutique sont similaires à celle des autres types d'accidents vasculaires cérébraux ischémiques ou hémorragiques (voir chapitres correspondants). On peut cependant émettre quelques remarques spécifiques concernant les lacunes ischémiques :
- En aigu, le bénéfice et les risques (hémorragie secondaire) de la thrombolyse IV (bien qu'ayant moins de sens sur le plan théorique) n'ont pas été démontrés différents de ceux des autres accidents vasculaires cérébraux ischémiques. Jusqu'à d'éventuelles nouvelles données, le caractère lacunaire d'un infarctus ne doit donc pas faire récuser un patient pour une thrombolyse. On ne peut que se borner à une attention particulière pour ces cas.
- Contrairement aux autres accidents vasculaires cérébraux ischémiques, une double anti-agrégation plaquettaire a été démontrée augmenter significativement la mortalité à long terme et est de règle à proscrire. Une anti-agrégation plaquettaire par un seul agent a par contre été démontrée globalement diminuer la morbi-mortalité (intérêt à peser avec le risque de l'éventuel versant hémorragique de la pathologie). On ne peut donc que recommander la prescription d'un anti-plaquettaire (ex : acide acétylsalicylique 160 mg/ jour) au cas par cas.
A noter également que dans la majorité des cas la micro-angiopathie touche d'autres organes, particulièrement la rétine et le rein et/ ou est associée à une macro-angiopathie.
Bibliographie
Arboix A et al., Clinical characteristics of acute lacunar stroke in young adults, Expert Rev Neurother, 2015
Benavente OR et al., Clinical-MRI correlations in a multiethnic cohort with recent lacunar stroke: the SPS3 trial, Int J Stroke, 2014 Dec;9(8):1057-64
Caplan RL, Caplan's Stroke. A clinical approach, 4th ed, Saunders, 2009
Dhamoon MS et al., Long-term disability after lacunar stroke: secondary prevention of small subcortical strokes, Neurology, 2015 Mar 10;84(10):1002-8
Jauch EC et al., Guidelines for the early management of patients with acute ischemic stroke: a guideline for healthcare professionals from the American Heart Association/American Stroke Association, Stroke, 2013 Mar, 44(3):870-947
Kwok CS et al., Efficacy of antiplatelet therapy in secondary prevention following lacunar stroke: pooled analysis of randomized trials, Stroke, 2015 Apr;46(4):1014-23
Latchaw RE et al., Recommendations for Imaging of Acute Ischemic Stroke. A Scientific Statement From the American Heart Association, Stroke, 2009, 40:3646-3678
Meschia JF et al., Guidelines for the primary prevention of stroke: a statement for healthcare professionals from the American Heart Association/American Stroke Association, Stroke, 2014 Dec, 45(12):3754-832
Mok V et al., Prevention and Management of Cerebral Small Vessel Disease, J Stroke, 2015 May;17(2):111-22
Osborn AG, Diagnostic imaging : brain, Amirsys, USA, 2d ed., 2009
Sharma M et al., Predictors of mortality in patients with lacunar stroke in the secondary prevention of small subcortical strokes trial, Stroke, 2014 Oct;45(10):2989-94
Valdés Hernández MD et al., A comparison of location of acute symptomatic vs. 'silent' small vessel lesions, Int J Stroke, 2015 Jun 29
Wiseman S et al., Blood markers of coagulation, fibrinolysis, endothelial dysfunction and inflammation in lacunar stroke versus non-lacunar stroke and non-stroke: systematic review and meta-analysis, Cerebrovasc Dis, 2014;37(1):64-75
Yoshimura S et al., Cerebral Small-Vessel Disease in Neuro-Behçet Disease, J Stroke Cerebrovasc Dis, 2015 Jun 26