Adénite (= adénolymphite) mésentérique
Date de dernière édition : 24/09/2024
Une adénite mésentérique ou adénolymphite mésentérique est une inflammation de ganglions lymphatiques mésentériques. Elle est d'évolution habituellement aiguë à sub-aiguë, exceptionnellement chronique.
Elle est fréquente, typique de l'enfant, chez qui elle représente un des principaux motifs d'admission pour douleurs abdominales aux urgences, ou du jeune adulte. Son étiologie est habituellement virale.
Les adénites mésentériques sont d'évolution habituellement spontanément résolutive, ne nécessitant dans l'immense majorité des cas qu'une prise en charge symptomatique. De par sa fréquence et malgré ce caractère généralement "bénin", cette pathologie est à connaître de tout médecin généraliste, pédiatre, interniste ou urgentiste afin d'éviter des examens complémentaires inutiles et potentiellement nuisibles.
A noter que, selon les séries publiées, 10 à 20% des patients bénéficiant d'une chirurgie exploratrice pour suspicion d'appendicite aiguë voient leur diagnostic rectifié en adénite mésentérique sur base macroscopique per-opératoire ou anatomopathologique.
Etiologies
La cause est virale dans plus de 80% des cas (Epstein-Barr Virus [EBV],…). Les étiologies bactériennes (yersinia, tuberculose mésentérique,…) ou parasitaires (toxoplasmose, lambliase,…) sont rares.
Exceptionnellement, elle peut être causée par une pathologie tumorale ou inflammatoire non infectieuse chronique.
Clinique

La présentation clinique stéréotypée consiste en l'association de :
- Douleurs abdominales diffuses ou en fosse iliaque +- vomissements et troubles du transit. Le tableau clinique est généralement similaire à celui d'une gastro-entérite (douleurs abdominales diffuses - vomissements - diarrhée) mais peut mimer une appendicite ou une diverticulite (localisation en fosse iliaque, présence de signes d'irritation péritonéale,...).
- Un état sub-fébrile à une fièvre modérée est fréquent.
- Une infection des voies respiratoires supérieures, la présence d'adénopathies cervicales ou un syndrome grippal plaident pour le diagnostic et une étiologie virale.
En cas d'étiologie virale, les douleurs disparaissent habituellement en quelques heures à quelques jours. Leur persistance, l'apparition d'une dégradation de l'état général ou une aggravation clinique rapide doit faire éliminer une origine bactérienne, une complication (invagination intestinale aiguë chez l'enfant) ou un diagnostic différentiel (autres causes de douleurs abdominales aiguës et causes gynécologiques, inspecter également les bourses chez l'enfant et le jeune adulte car une torsion testiculaire frustre peut débuter par des douleurs abdominales basses) et penser à une angine ou une pneumonie en cas de fièvre (se déclarant fréquemment par des douleurs abdominales chez l'enfant).
Des signes péritonéaux sont possibles mais doivent toujours faire éliminer une urgence chirurgicale.
Diagnostic différentiel
Le diagnostic différentiel d'une adénite mésentérique (sub)-aiguë est celui d'une douleur abdominale aiguë, à moduler selon la présentation clinique. Les principaux diagnostics de confusion sont ceux d'appendicite et de diverticulite.
Les rares cas d'adénites mésentériques chroniques doivent faire discuter certaines étiologies infectieuses (tuberculose, parasitoses, HIV,...), tumorales ou inflammatoires (maladie de Crohn, recto-colite ulcéro-hémorragique, fièvres périodiques héréditaires, maladies granulomateuses...) en fonction du contexte clinique.
Examens complémentaires
Aucun examen complémentaire n'est nécessaire en l'absence de signe de gravité et de doute quant à une pathologie chirurgicale (éléments rassurants : enfant ou jeune adulte, absence de signes péritonéaux, amélioration endéans les trois jours, conservation de l'état général, absence de vomissements sanglants ou de diarrhées sanglantes, absence de douleur localisée élective à la palpation,...).
Dans les autres cas, on envisagera la réalisation de :
- Biologie :
- Syndrome inflammatoire variable selon l'étiologie
- Eventuels signes de sévérité biologique (signes de déshydratation, troubles ioniques, insuffisance rénale,...)
- Hémocultures
- En cas d'état septique ou si un antibiotique est jugé nécessaire
- Tigette urinaire et examen microscopique des urines (EMU)
- En cas de doute clinique avec une colique néphrétique ou une infection urinaire.
- Eventuel test de grossesse et avis gynécologique
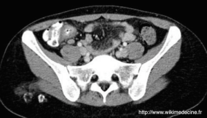
- Echographie ou CT-scanner abdominal :
- Confirme la présence d'adénopathies mésentériques supracentimétriques (ou des clusters d'au moins 3 adénopathies de plus de 5 mm de grand axe), peut mettre en évidence un épaississement de la paroi grêle ou colique en regard, estime la sévérité et d'éventuelles complications et permet d'éliminer les diagnostics différentiels chirurgicaux (l'appendice doit être normal)
- Exceptionnellement, selon la présentation clinique et le diagnostic différentiel : coprocultures, endoscopie,...

Prise en charge thérapeutique - Traitements
En cas de clinique typique sans argument pour une étiologie bactérienne :
- Traitement uniquement symptomatique, similaire à la prise en charge d'une gastro-entérite virale : paracétamol +- anti-inflammatoires non stéroïdiens. Mesures générales (régime "gastro", bonne hydratation). Aucune autre attitude n'a été démontrée efficace.
- De manière générale il faut rappeler que les anti-émétiques et anti-diarrhéiques sont rarement utiles chez l'adulte et de règle à éviter chez les enfants (rapport bénéfices-risques habituellement défavorable). Il convient de privilégier la réhydratation PO.
- Chez les nourrissons à risque de déshydratation ou chez les jeunes enfants, vieillards et patients à risque présentant des signes de déshydratation légère à modérée, il convient de recourir aux Solutions de réhydratation Orales selon les recommandations de l'OMS.
- Envisager une brève hospitalisation en cas de signes cliniques de déshydratation sévère pour réhydratation IV, particulièrement chez les nourrissons et vieillards non institutionnalisés.
- Le cas échéant, rassurer les parents - souvent très inquiets et comprenant mal l'attitude des médecins jugée négligente face à l'intensité des douleurs de leur enfant - et leur expliquer dans quels cas se représenter en urgence. Prescrire un suivi en consultation chez le médecin traitant à 72 heures.
Dans les autres cas :
- La réalisation d'une imagerie radiologique ne se justifie en urgence qu'en cas de doute diagnostique raisonnable ou de crainte d'une complication. En cas d'examen non concluant : surveillance clinico-biologique et contrôle échographique ou scannographique à 24 heures. En cas de dégradation clinique dans cet intervalle ou d'examens de contrôle toujours non concluants, discuter l'opportunité d'une chirurgie exploratrice et/ ou d'une antibiothérapie empirique.
- Lorsque le diagnostic est retenu, la réalisation d'examens complémentaires (s'ils n'ont pas déjà été réalisés) et une antibiothérapie (++ fluoroquinolones ou cyclines) empirique ne se justifient qu'en cas de suspicion d'étiologie bactérienne (objectivation d'une dégradation de l'état général, haute CRP, absence d'amélioration clinique à plus de quelques jours, aggravation rapide du tableau).
Bibliographie
Carty HM, Paediatric emergencies: non-traumatic abdominal emergencies, Eur Radiol. 2002 Dec;12(12):2835-48
Hawkey CJ et al., Textbook of clinical Gastroenterology and Hepatology, 2d edition, Wiley-BlackWell, 2012
Kliegman RM et al., Nelson textbook of pediatrics, 18th edition, Saunders, 2007
Lambot K et al., Les urgences abdominales non traumatiques de l’enfant, J Radiol, 2005; 86:223-33
Toorenvliet B et al., Clinical differentiation between acute appendicitis and acute mesenteric lymphadenitis in children, Eur J Pediatr Surg, 2011 Mar;21(2):120-3
World Health Organization and UNICEF, Production of the new ORS, WHO Press, 2006
Yang WC et al., Etiology of non-traumatic acute abdomen in pediatric emergency departments, World J Clin Cases, 2013, Dec 16; 1(9): 276–284
NB : cet article dont la première version a été rédigée en 2014 a été, sans être cité en référence, pompé en large partie par le site Ooreka puis par d'autres, nous copiant ou se copiant les uns les autres, par les sites passeportsanté et santésurlenet. C'est du plagiat et tout à fait inadéquat, même de la part de sites à vocation purement commerciale.